Microchip instalado en la mano abre puertas y hace pagos
Dave Williams, un británico ingeniero de software se ha implantado en su mano un microchip del tamaño de un grano de arroz que le permite abrir puertas sin tener llaves o hasta para hacer pagos.
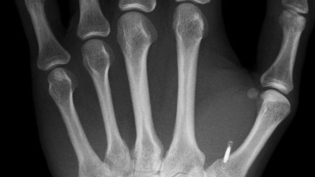
Es una especie de circuito eléctrico que se implanta con tecnología inalámbrica entre el dedo pulgar y el índice. Williams dice que por ser tan olvidadizo le encantó la idea de tener un microchip que le ayude a abrir la puerta de su casa sin caer en pánico por haber olvidado las llaves.
Esta tecnología está de moda en países como Suecia, Alemania, Nueva Zelanda y Australia donde se promueven este tipo de inventos para desarrollar la visión futurística de lo digital.
Este microchip contiene una información de seguridad de la persona o el objeto que lo use, y es que hasta en animales se ha implementado porque los collares de perro están incluidos; hasta los teléfonos inteligentes y los pasaportes lo tienen.
En Estocolmo, una empresa le implantó a todos sus trabajadores este microchip con el que no sólo podían abrir una puerta sino hasta pagar un café y usar una fotocopiadora.
Los chips que se usan permiten hacer pagos ” sin contacto” colocando la mano cerca de su smartphone para usar la aplicación.
“La única información que SJ lee de los tickets de microchips es el número de membresía en el programa de fidelización de SJ, Este número no se considera confidencial y la privacidad de los clientes está garantizada desde nuestro punto de vista” cuenta Stephen Ray, presidente de SJ, los creadores de los chips.
Según Ray, esta iniciativa se quiere expandir hasta otras áreas de la vida cotidiana como para remplazar una tarjeta de crédito, pero no todos están a favor de esta implantación de chip en la mano ya que se pueden viralizar los datos de una cuenta bancaria y filtrar información comprometedora.
